新橋口腔半口全口種植團隊醫生專訪!……

立冬前夜,成都的氣溫依然維持在十多度。這是摘下口罩后的第一個冬天,也是四川省種植牙集采政策實施后的第一個冬季就診高峰。晚上近九點,王旭東做完了最后一臺手術,診室外還有顧客在等候。
“按以往的經驗,每年春、冬兩季是種植牙顧客就診比較集中的時候,去年因為疫情原因就診高峰延遲到了春節后,但今年我們提前進入了加班模式,經常晚上七八點鐘才下班。”
從業二十多年來,王旭東經歷了口腔行業的快速發展,也趕上了口腔醫療技術革新的大潮。出身于普通家庭,沒有名校光環,王旭東自認為“起點不高”,但他憑著自身的努力和不甘人后的精神練就了一身好技術,成為國內較早掌握All-On-4/6半口全口種植技術的75后醫生之一。回想起這些年的職業生涯,他慶幸自己當初的選擇:“最關鍵的幾步,都走對了。”
放棄編制 南下廣東打拼
2000年,王旭東從醫科大學畢業后被分配到家鄉一所公立醫院的口腔科工作,那是國家包分配工作的最后一年。工作后,他發現來看牙的患者很少,基本都只是做拔牙、齲齒等基礎治療,科室在醫院不受重視,醫生個人的成長空間有限,看不到未來。半年后,王旭東頂著家里的壓力辭職了,帶上簡單的行李,他登上了南下廣東的列車。
在當時,放棄公立醫院編制屬于非常叛逆的行為,他知道,這一走就沒有回頭路了。
那時候,去廣東是很多人的選擇,那里是改革開放的前沿,有著數不清的機會,只要愿意吃苦就能找到工作。雖然對自己的臨床技術很有信心,但王旭東還是做了最壞的打算:如果做不了醫生,哪怕進廠打工也行,等賺了錢再去進修深造。
旭日東升 十年歷練再返川
在廣東順德,王旭東成功應聘到一家當地知名口腔連鎖機構工作。在這里,他接觸到了大量需求各異的患者,結識了很多優秀的同行和同事,大家一起探討病例,交流學習,工作氛圍非常好。勤學好問、性情溫和的“老王”很受同事和顧客喜歡。在這期間,王旭東的臨床技術得到了快速提高,尤其在美學修復方面積累了很多經驗,“廣東經濟發達,顧客對美學要求高,很多人為了美觀來做金牙、烤瓷牙,這是我在老家醫院沒有機會嘗試的。”
不久后,正畸治療在國內興起,王旭東又系統學習了口腔矯正技術,逐步成長為一名技術全面的口腔醫生。
事業漸入正軌后王旭東在廣東安了家,把父母也接到了身邊,多年前的出走有了一個圓滿的結局。幾年后,父母難以適應炎熱干燥的氣候,提出想回四川老家。已是診所骨干的王旭東再次面臨選擇,最后,性格敦厚的他放棄了打拼十年的平臺,決定隨父母回川生活。
好消息是,這十年,成都也涌現出一批本土口腔醫療機構,包括創立于九十年代的新橋口腔。2011年,新橋口腔醫院喬遷新址,四處物色優秀人才。新橋聯系上王旭東后,雙方一拍即合。當年五月,王旭東攜家人回到成都,入職新橋口腔。
扎根新橋 赴華西深造口腔種植
2011年的新橋口腔只有衣冠廟一個院區,注冊醫生僅有十余人。王旭東在口內、口外、修復、正畸等方面都具有相當的技術實力和豐富的臨床經驗,是醫院的骨干之一。除了技術好,他對待顧客親切、耐心,人緣和口碑都非常好。
工作中王旭東發現,相比廣東,四川地區的人們口腔健康意識比較薄弱,美學修復、口腔正畸等專科還有很大提升空間。“成都擁有以華西口腔為代表的超強技術實力,缺的只是理念,我會把廣東的一些先進的醫療理念和服務意識帶到工作中,更好地去服務顧客。”

工作和生活再次穩定下來后,王旭東沒有停留在舒適區,他對新技術的學習沒有停止。在醫院的組織下,他和同事們通過進修、培訓和參與學術會議開闊眼界,持續提升。
2010年左右,一項新的口腔修復技術受到患者群體的廣泛關注,這就是口腔種植。當時國內掌握此項技術的醫生不多,在四川基本只有華西口腔等公立三甲醫院能開展,新橋口腔決定培養年輕醫生開展口腔種植治療。2014年,王旭東被公派前往華西牙種植醫院深造口腔種植技術。

華西口腔是中國種植牙技術的發源地,早在90年代初就已開展種植牙臨床治療。深造期間,在國內種植先驅、原華西醫科大學衛生部口腔種植科技中心副主任、現任新橋口腔成都玉雙院區業務院長劉果生教授的親自帶教下,王旭東系統學習了口腔種植修復技術。回到新橋后不久,他成功完成了個人首例種植牙治療,成為首位由新橋口腔自行培養的口腔種植醫生。

留洋赴美 精研半口全口種植技術
隨著新橋口腔院區規模的不斷擴大,接診量也在不斷攀升,王旭東接診了多例半口、全口缺牙的顧客。全口缺牙后的種植要達到理想效果,常規技術需要植入20顆左右的種植體,很多老人的牙槽骨條件有限,難以完成這么大數量的種植,即使符合條件,也面臨著治療周期長、痛苦大且費用高昂等問題。想要解決這個難題,需要掌握一項新的技術All-On-4/6,該技術只需要植入8至12顆種植體就能恢復全口咀嚼功能。
為了滿足顧客的需求,夯實和提升新橋的技術實力,2018年,新橋口腔公派王旭東前往美國羅馬琳達大學學習AAID MaxiCourse種植課程。該課程是由美國口腔種植學會(AAID)為培養專業種植醫生而設立的國際金標準種植課程,課程內容包括單顆、多顆、全口種植、前牙美學種植、上頜竇提升、GBR骨增量手術、即拔即種、數字化引導種植等系統的口腔種植技術和實操訓練。

王旭東在美國羅馬琳達大學留影
2019年4月,王旭東順利完成 China MaxiCourse 種植課程學習,同時獲得美國AAID種植專科醫師協會認證,他是該行業頂尖課程在中國招收的第二批學員之一。

上圖:王旭東與羅馬琳達大學種植科主任Jaime Lozada教授 下圖:王旭東與MaxiCourse種植課程導師
跨年手術 成功實施首例全口
回國后,王旭東在新橋口腔陸續完成了多例半口種植修復治療,積累了一定的臨床經驗。2019年歲末,王旭東接診了一位72歲的陳姓老中醫。陳老多顆牙齒缺失、松動,全口種植無疑是理想的治療方案。老人家聽完方案非常開心,堅決要做,還選擇了高端系列的種植體。在感受到信任的同時,王旭東也倍感壓力。
由于種植位置離下頜頦神經很近,無法按常規直立植入,只能斜行植入,難度較大。為確保萬無一失,王旭東反復讀片、定位,斟酌方案,捋著時差向美國的導師請教,并在導師的指導下對方案不斷優化調整。一切準備就緒,手術時間定在2019年的最后一天。
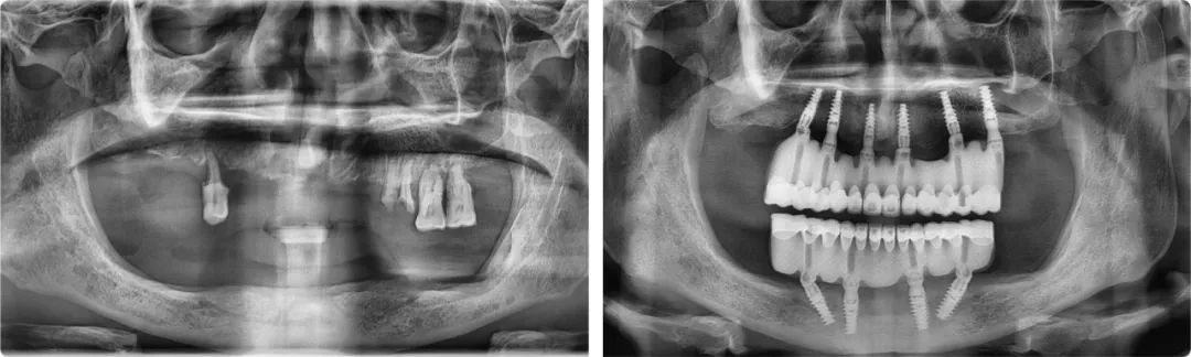
2019年12月31日,拔牙、植入10顆種植體、取模、戴牙(臨時修復體)、調整,當所有治療程序全部完成,時針已滑過零點。這次跨年手術是王旭東完成的第一例全口種植修復治療,也是陳醫生過得最開心的一個元旦。新的一年,他終于可以正常吃飯、說話,無所顧忌地大笑了。

王旭東首例全口種植案例術前術后全景片
幾年來,陳醫生除了定期復查,還介紹了不少朋友前來找“老王”,今年十月,他又陪老伴來做了半口種植。看到王旭東工作繁忙,他還為王旭東把脈看診,教給他中醫養生知識,叮囑他注意休息。
多年來,王旭東已完成口腔種植修復治療數千例,半口全口種植數百例。他在前牙美學種植修復、正畸間隙種植修復等復雜、高難度案例方面經驗豐富,種植牙顧客下至18歲上至91歲。

2019年6月,王旭東為全國著名角膜移植手術專家姚曉明教授種牙
從醫20多年來,王旭東一直把自己放得很低,但從未停止攀登的腳步。“當年放棄了安穩的工作,選擇未知的前程,沒了退路反而讓我走得更遠!”
他感恩每一次機遇,也感謝自己的努力和選擇,他不擅憧憬未來,更習慣默默行路,只爭朝夕。